【唖然】私「グエグォ」外科医「ちょっとの骨折で大げさな!痛がりですか?www(グイグイ」→ 内臓破裂した
66: 名無しさん@HOME 2013/01/18(金) 22:05:18.10 0
思い出し投下。
若かりし頃 スノボに行ってアイスバンでスっ転げた。
若かりし頃 スノボに行ってアイスバンでスっ転げた。
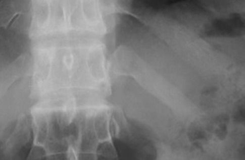
自分の肘が脇腹に入り余りの痛さに病院へ→レントゲン撮ると肋骨ちょびっと骨折だった。
痛がり呻く私に当直だった整形外科医がバカにしたように
「wwちょっとの骨折で大げさな!痛がりですか?」と言いながらグイグイ腹を押さえ触診。
あまりの痛さにグエグォ呻き息も出来なかった。
母が「この子は我慢強い子なんですが」と言ってたのでちょっと笑った。
そして念のため2日入院。

